Mắt 2 mí là dáng mắt phổ biến và được ưa chuộng vì giúp gương mặt trông hài hòa, trẻ trung và cuốn hút hơn. Đặc điểm này dễ nhận biết nhờ nếp gấp rõ ràng trên mí trên. Tuy nhiên, không phải ai cũng phân biệt chính xác giữa mắt 2 mí, 1 mí hay mí lót. Vậy làm sao để nhận biết mắt 2 mí và các giải pháp khắc phục khi không có mắt 2 mí tự nhiên là điều nhiều người quan tâm.
Nội dung bài viết
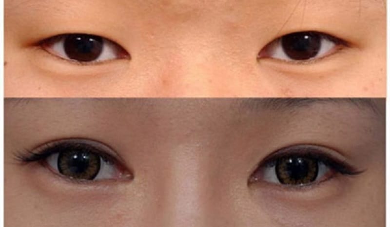
Mắt 2 mí là đôi mắt có nếp gấp rõ ràng ở mí trên, tạo cảm giác to tròn, thanh thoát và cuốn hút, thường được xem là chuẩn mực thẩm mỹ hiện đại. Để nhận biết mắt hai mí, chỉ cần quan sát đường nếp gấp chạy dọc mi trên, tạo khoảng cách tự nhiên giữa mí mắt và lông mày, nhờ đó đôi mắt trông sâu, có hồn và nổi bật hơn.

Mắt 2 mí có nếp gấp rõ nét, mắt to tròn
Một số đặc điểm của mắt 2 mí, mắt 1 mí và mắt mí lót được nhận biết qua có nếp gấp rõ nét, tạo cảm giác mắt to, sâu, đường mí không bị che khuất,….

Mắt 2 mí tạo cảm giác to sâu
Người có mí lót, 2 mí không đều, người lớn tuổi hoặc do mắt bị sưng,….

Những người lớn tuổi có nếp mí dễ bị nhầm với mắt 2 mí
Nếu không sở hữu mắt 2 mí tự nhiên, bạn có thể tham khảo các phương pháp như: nhấn mí, cắt mí, nâng cung chân mày,…

Cắt mí giúp tạo mắt 2 mí rõ nét, tự nhiên

Phương pháp cắt mí khắc phục tình trạng mí sụp, mí ẩn, mí lót
Đặc biệt, tại Kangnam chuyên khoa thẩm mỹ mắt nhiều năm kinh nghiệm, khách hàng sẽ được thiết kế mí chuẩn tỉ lệ gương mặt Á Đông, ứng dụng công nghệ Hàn Quốc, bảo hành lâu dài. Đây cũng là lựa chọn tiện lợi cho khách Việt kiều vừa về thăm quê, vừa kết hợp làm đẹp.
Có thể thấy, nhận biết mắt 2 mí không khó chỉ cần soi gương và quan sát đường gấp mí. Tuy nhiên, trong nhiều trường hợp mí mờ, mí lót hoặc da chùng, bạn sẽ khó phân biệt chính xác.
Nếu muốn sở hữu đôi mắt 2 mí rõ, đẹp tự nhiên, an toàn, hãy tham khảo các giải pháp thẩm mỹ hiện đại như nhấn mí, cắt mí Plasma, cắt mí 6D tại bệnh viện Thẩm mỹ Kangnam.
Xem thêm:
Cắt mí khi về già có phải cắt lại không
Cắt mắt 2 mí có để lại sẹo không